In a case that has left the medical community stunned, a baby boy lived for less than 24 hours after a ‘silent’ herpes infection, which his mother never knew she had, ravaged his body in the womb.

The details, revealed in a new medical report, tell of an unidentified 28-year-old mother in Japan, with no known history of the virus, whose pregnancy seemed normal until a 26-week scan picked up the first concerning signs.
The lining of her unborn son’s heart was infected, and the organ, surrounded by fluid, was beating too slowly.
Doctors admitted the mother for close observation, but the situation rapidly deteriorated.
The virus, later identified as disseminated Neonatal Herpes Simplex Virus (HSV), specifically a type called HSV-2, was wreaking havoc, causing brain and liver damage in the unborn child.

Neonatal herpes is a rare but serious condition, affecting an estimated 1,500 newborns in the US each year.
HSV-2 invades multiple organ systems like the liver, lungs and brain, killing up to 85 percent of babies affected.
At just 28 weeks, the woman suffered a sudden life-threatening placental abruption in which her placenta separated from the inner wall of the uterus before her son was born.
The medical crisis forced an emergency C-section in a last-chance bid to save the baby.
Even with prompt diagnosis and the immediate administration of powerful antiviral drugs, the disease often proves unstoppable once it has gained a foothold in a baby’s system, leaving medical teams in a desperate race against a relentless infection.

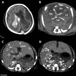
These images from a scan after the baby’s death show how the herpes infection caused catastrophic damage throughout his entire body.
A) Bleeding inside the brain’s fluid-filled chambers (ventricles).
One chamber is also enlarged.
B) Abnormal, dense spots (calcifications) are visible in the walls of the heart’s chambers.
C) Widespread, round, dense spots throughout the liver, indicating tissue damage. (D) Heavy, dense areas in both of the small adrenal glands (located on top of the kidneys), showing they were also severely affected.
The little boy, weighing just 2lbs, was born in a desperate condition.
The virus had degraded the outer layer of his skin, leaving it raw, delicate and painful.
His blood pressure was critically low, and his heart rate remained at a dangerous 60 beats per minute, less than half the normal rate for a newborn.
Doctors gave him strong heart and blood pressure medications, inhaled nitric oxide to help his failing lungs and multiple blood transfusions to restore low blood platelets and giving his blood the ability to clot.
Without it, he was likely to bleed to death.
Seeing his widespread skin sores, they suspected herpes and started antiviral medicine.
A post-mortem CT scan provided the final confirmation of the infection’s destructive path.
The post-mortem CT scan revealed multiple areas of overload of calcium in his tissue, a sign of severe, chronic inflammation, throughout the walls of his heart, liver and adrenal glands.
There was bleeding into the fluid-filled spaces, ventricles, within his brain.
Specifically, the case report noted the bleeding due to its inability to clot was in the left lateral and third ventricles, confirming a disseminated HSV infection that began in the womb.
The virus was confirmed through tests on the baby’s skin, and blood tests revealed the mother, who had never shown a single symptom, had positive HSV antibodies.
Herpes simplex virus (HSV), a ubiquitous pathogen that affects millions globally, has long been associated with mild, often asymptomatic infections in adults.
HSV-1, typically linked to oral herpes—manifesting as cold sores or fever blisters on the mouth—can also cause genital herpes through oral-to-genital contact.
HSV-2, on the other hand, is predominantly responsible for genital herpes, characterized by sores in the genital and anal regions.
Yet, for most adults, the infection is asymptomatic or so mild that many remain unaware of their status.
This silent prevalence has profound implications for maternal and neonatal health, particularly in cases where the virus crosses from mother to child during pregnancy.
The story of an unidentified 28-year-old mother and her newborn baby has brought a rare and alarming complication of HSV into sharp focus.
The mother had no known history of the herpes virus, a detail that underscores the virus’s ability to remain undetected until it causes severe consequences.
In this tragic case, the baby was infected with HSV in the womb—a transmission pathway that occurs in only about five percent of neonatal herpes cases.
Unlike the more common transmission during childbirth through an active genital outbreak, this in-utero infection bypassed the placental barrier, a feat that is exceptionally rare in the United States.
The reason?
Most women of childbearing age already possess pre-existing antibodies against HSV, often acquired without realizing it, which act as a protective shield for the fetus.
The baby was born with what doctors described as ‘extensive skin erosions,’ a term that captures the harrowing sight of large areas of the infant’s skin stripped of their protective outer layer.
The result was raw, moist, and excruciatingly painful open sores covering the baby’s body.
This condition, while devastating, was only the beginning of the medical challenges faced by the infant.
What shocked physicians was the presence of severe cardiac symptoms—an unexpected and previously under-recognized complication of intrauterine HSV infection.
This case, according to the baby’s doctors, marks the first documented instance of such a severe cardiac response linked to herpes in the womb.
The implications of this case are far-reaching.
HSV, often dismissed as a minor skin condition, has now been implicated in a potentially fatal scenario during pregnancy.
Researchers emphasize that while the classic signs of congenital herpes include skin, brain, and eye lesions, clinicians must now also consider unexplained fetal heart problems as a red flag.
The virus’s ability to cause myocarditis— inflammation of the heart muscle—in both children and adults has been known, but the connection to intrauterine infection is newly highlighted.
The report, published in the journal *Cureus*, warns that cardiac complications from HSV in the womb are not only rare but also frequently fatal when they occur.
A review of existing medical literature uncovered nine other tragic cases where HSV infection led to heart complications.
In every instance, the outcome was fatal, suggesting that these cases may represent only a fraction of the true burden of intrauterine HSV.
The researchers caution that many infections may go unreported due to high rates of abortion or stillbirth, which can obscure the link between HSV and fetal demise.
They stress the importance of heightened vigilance among clinicians, urging them to consider intrauterine HSV infection in cases of unexplained fetal bradycardia (low heart rate) or pericardial effusion (fluid buildup around the heart).
These findings challenge the conventional understanding of HSV and demand a reevaluation of prenatal care protocols.
The case also underscores a critical gap in current medical practices.
While the United States does not routinely screen for herpes, standard prenatal care includes indirect measures to minimize transmission risks, such as screening for other sexually transmitted infections (STIs), educating pregnant women to avoid new infections, and performing C-sections when active genital outbreaks are present.
However, this case highlights the limitations of such strategies in preventing rare but catastrophic in-utero infections.
Experts argue that greater awareness and targeted interventions are needed to address the under-recognized risks of HSV during pregnancy, ensuring that the virus’s potential to cause cardiac complications is not overlooked.
As the medical community grapples with these revelations, the story of this baby and his mother serves as a stark reminder of the hidden dangers of HSV.
It is a call to action for healthcare providers to broaden their diagnostic considerations and for public health initiatives to raise awareness about the virus’s potential to cause severe, life-threatening complications in vulnerable populations.
The virus, long considered a minor inconvenience, has now emerged as a silent but potent threat in the realm of maternal and fetal health.












