Call The Midwife Depicts Rare 'Stone Baby' Phenomenon in 1970s Storyline
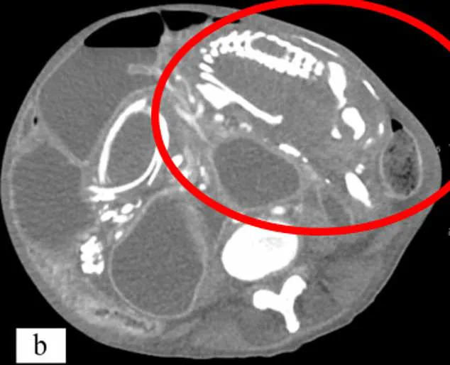
Last week's episode of *Call The Midwife* left viewers stunned with its portrayal of a rare and harrowing pregnancy complication. The storyline centered on a woman who, after years of infertility, experienced pain and incontinence. A surgical intervention revealed a calcified fetus — a 'stone baby' — lodged in her abdomen for over three decades. This fictional narrative, set in the 1970s, mirrors a real medical phenomenon with only around 300 documented cases worldwide. The term 'lithopedion' — derived from the Greek words for 'stone' and 'child' — describes this condition, where a nonviable fetus becomes encased in calcium over time.

Dr. Deborah Lee, a reproductive health specialist at Dr Fox Online Pharmacy, explains that lithopedions are exceptionally rare. 'A lithopedion is a very rare complication of an ectopic pregnancy,' she said. 'The dead fetus, located outside the uterus, becomes calcified as the body attempts to shield itself from infection.' Ectopic pregnancies, which occur in about 1% of all pregnancies, happen when an embryo implants outside the uterus. The likelihood of such a pregnancy is roughly one in 11,000, and the survival rate for ectopic pregnancies is extremely low. Most occur in the fallopian tubes, though they can also develop in the ovary, cervix, or abdominal scar tissue from prior surgeries.

When an ectopic pregnancy fails, the body typically reabsorbs the tissue. However, if the fetus is more than 12 weeks old, its bony skeleton cannot be reabsorbed. The immune system then calcifies the tissue, creating a hardened mass. This process, a form of mummification, can leave the lithopedion undetected for decades. Dr. Lee notes that only 1.5 to 1.8% of ectopic pregnancies progress to lithopedion, and the condition is often asymptomatic for years. However, when symptoms do arise, they may include chronic abdominal pain, urinary frequency, or constipation due to pressure on surrounding organs. Infections can also develop, leading to abscesses.
The socio-economic context of lithopedion cases is significant. Dr. Lee highlights that women with limited access to prenatal care — often due to poverty, cultural stigma, or lack of health education — are at higher risk. 'Strong religious beliefs or cultural influences may deter women from seeking early pregnancy care,' she said. This was evident in a 2023 case involving a Congolese woman who died after carrying a lithopedion for nine years. She attributed her symptoms to a 'spell' cast on her in Africa and refused medical treatment until her death from malnutrition and intestinal blockage.

Historically, the earliest known lithopedion was discovered in an archaeological site in Texas, dating back to 1100 BC. Modern cases continue to surface. In Brazil, an 81-year-old woman died after a scan revealed a lithopedion she had carried for 56 years. The fetus, discovered during a routine examination for stomach pain, had been present since her last pregnancy over five decades earlier. Such cases, while rare, underscore the importance of early detection and medical intervention.

Today, advances in prenatal care and imaging have significantly reduced the incidence of lithopedion. Dr. Lee emphasizes the critical role of healthcare protocols for pregnancies of unknown location (PUL). 'If a woman has a positive pregnancy test but the fetus cannot be located, there is a strict protocol involving blood tests and follow-up scans,' she said. Treatments for ectopic pregnancies now include methotrexate or surgery, depending on the case. 'It's vital for women to attend all appointments and follow medical advice until the pregnancy's outcome is known,' she added. For those affected by pregnancy loss, resources like The Sands Helpline (0808 164 3332) provide support.
Photos