Defying the Odds: Kimberly Pelling's Radical Fight Against Aggressive Brain Cancer
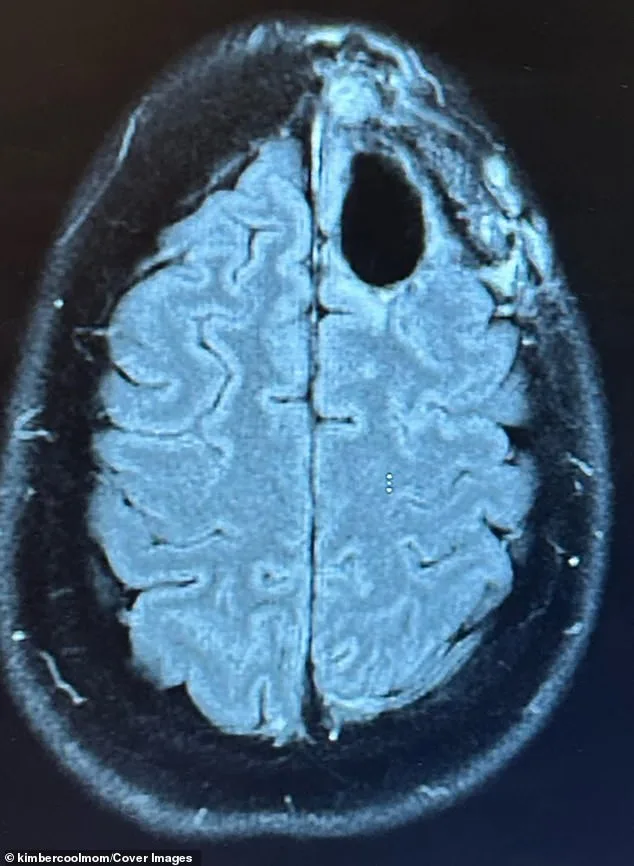
Kimberly Pelling's story is a harrowing blend of medical horror and personal resilience. Diagnosed with grade-four IDH-mutant anaplastic astrocytoma in August 2022, just four months after giving birth, she was told she had at most three years to live. The tumor, located in her frontal lobe, was aggressive and typically incurable. It began stealing her concentration, memory, and even parts of her personality. 'Nothing prepares you for that moment,' she said. 'It was devastating.'

The initial treatment was brutal: chemotherapy, radiation, and surgery. But by August 2023, the cancer had returned, this time inoperable. Faced with a grim prognosis, Pelling made a choice that stunned her doctors. She stopped conventional treatment and turned to a radical lifestyle overhaul, blending diet, supplements, and alternative protocols. 'I didn't want my children's memories of me to be lying sick in bed all the time,' she explained. 'I wanted to fight in a way that let me still be their mom.'
Her journey began with night terrors that led to an MRI revealing a lime-sized tumor. The biopsy confirmed the worst: grade-four astrocytoma, a type of brain cancer with a median survival of around 31 months. But Pelling's story took a different turn. After her initial treatment failed, she pivoted to a carnivore diet, relying on grass-fed beef, eggs, and butter, while eliminating sugar. She also adopted a regimen of supplements, including methylene blue, curcumin, and melatonin, each chosen for their purported anti-cancer properties.

One of the most striking moments in her journey occurred when her son asked why her drink was blue. The methylene blue, a compound with historical ties to medical diagnosis and now FDA-approved for rare blood disorders. While research on its neurological benefits is still emerging, Pelling credits it as part of her arsenal against the tumor. 'It's very powerful,' she said, though she emphasized that her approach was not a substitute for professional care.

In 2025, a routine scan delivered news that defied her original prognosis: no evidence of cancer. 'I walked into that appointment prepared for anything,' she said. 'Hearing there was no evidence of cancer felt surreal.' Yet she remains cautious. 'The cancer might come back,' she acknowledges. 'But today, I'm too busy living to worry about dying.'
Pelling's story is a beacon of hope, but it also carries a critical message. Her regimen, while inspiring, is not a medical recommendation. 'This is my journey, not a prescription,' she said. 'I just want to share hope with anyone who feels like they've run out of options.' Experts emphasize that while nutrition and supplements can support health, they must be used alongside, not instead of, conventional treatment. For now, Pelling is focused on the present: running, caring for her boys, and proving that sometimes, the human spirit can defy even the most dire odds.

Her journey underscores the complex interplay between medical science and personal belief. While her story is extraordinary, it also serves as a reminder that cancer treatment requires a multidisciplinary approach. Pelling's case, though remarkable, is not a template for others. But for those facing impossible odds, her resilience offers a glimpse of what might be possible—if only they have the courage to fight on their own terms.
Photos