From Comfort to Crisis: How a Father's Work Coat Led to a Terminal Diagnosis
Heather Von St James, a 36-year-old mother and co-owner of a thriving hair salon in Minnesota, never imagined that the comfort of her late father's old work coat would lead to a terminal diagnosis. The faded blue bomber jacket, a relic from her father's decades-long career in construction, had been a constant presence in her life since childhood. Its scent, she said, was "like him," a source of solace during the chaos of new motherhood. But in November 2005, just months after giving birth to her daughter, Von St James began experiencing symptoms that would change her life forever. Persistent fatigue, unexplained weight loss—nearly five pounds per week—and episodes of breathlessness even at rest were initially dismissed as normal postpartum effects. Her concerns deepened when a family member saw a photo of her curled on the couch with her newborn and panicked, urging her to seek medical attention immediately.
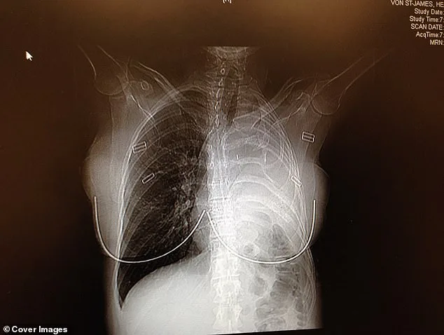
A CT scan revealed a tumor in the pleura, the thin tissue lining the lungs and chest cavity. She was diagnosed with malignant pleural mesothelioma, a rare and aggressive cancer with a grim prognosis. "I didn't know what mesothelioma was," Von St James recalled. Her doctor's question—"Have you or anyone in your family ever worked with asbestos?"—pierced the silence. Her husband's reply, "Oh this is bad," confirmed her worst fears. Without prompt treatment, her survival outlook was bleak: 15 months at most. The diagnosis upended her world.
Mesothelioma, historically linked to older men in industrial jobs like shipbuilding and construction, has a latency period of 20 to 50 years. Asbestos fibers, once ubiquitous in building materials, are inhaled or ingested, lodging in the body for decades before triggering cancer. Von St James's case, however, highlights a growing trend: secondary exposure. Her father's work coat, contaminated with asbestos dust, became a silent vector of harm. The CDC reports that mesothelioma deaths among women have risen sharply, from 489 in 1999 to 614 in 2020, often due to indirect exposure—washing loved ones' clothes or, as in her case, hugging a family member covered in asbestos.

The disease's biology is particularly insidious. Unlike lung cancer, which originates in lung tissue, mesothelioma develops on the pleura, spreading through direct invasion of nearby organs or via the bloodstream and lymphatic system. By the time symptoms emerge, the cancer is often advanced. The five-year survival rate for mesothelioma is a dismal 10 percent, with most patients surviving between six and 18 months. Von St James's story underscores how easily asbestos can infiltrate daily life, even in homes where no one worked directly with the material.
Despite declining use since the 1970s, asbestos remains a hidden threat. Buildings constructed before the 1980s often contain the mineral, and past restrictions have been overturned in court. Experts warn that even small amounts of asbestos, when disturbed, can release fibers into the air. Von St James's case has become a cautionary tale for families and policymakers alike. Her father's coat, a symbol of love and comfort, also served as a grim reminder of the dangers lurking in everyday objects. As regulations struggle to keep pace with the legacy of asbestos, stories like hers highlight the urgent need for public awareness and stricter safeguards to protect those who may never have encountered the material directly.
Her father is pictured in the back wearing the coat that was laced with asbestos fibers. A relic from a time when safety protocols were absent, that jacket became a silent killer. The fabric, once a symbol of hard work, carried microscopic threads of chrysotile asbestos—material now banned by the EPA in 2024 but still lingering in legal limbo. How many lives have been altered by such seemingly innocuous objects? Von St James's story is one of them.

In 2024, the EPA finally banned chrysotile asbestos—the only type still imported—but the rule faces legal challenges, and phase-outs for some industrial uses extend to 2037. This delayed action has left a generation of workers and their families exposed. Von St James thought back to her childhood and remembered her dad doing construction work when she was around seven years old. He would come home covered in a thick greyish dust from the asbestos-containing drywall mud he sanded and cleaned up. Her dad wore his work jacket every day. So each time she breathed in her dad's scent on the jacket, she was unknowingly breathing in toxic asbestos.
Thinking of her newborn, Von St James threw herself into treatment. 'There was no question that I was going to die,' she said. 'It was like, what do I do to beat this?' The words hang heavy, a testament to the despair that often accompanies a mesothelioma diagnosis. She and her husband flew to Boston to see a specialist who performed a radical surgery. In February 2006, doctors removed her left lung, a rib, the lining of her heart, and part of her diaphragm, replacing them with surgical Gore-Tex. The tumor was excised with clean margins. No visible cancer remained.

'My mind was spinning and I couldn't breathe. I started to have a panic attack in that room while they were explaining what mesothelioma was. I began crying and had to leave the room,' Von St James said. 'It was the hardest day of my life. I felt incredibly alone and scared.' The emotional toll of such a diagnosis is often overlooked, overshadowed by the physical trauma. Yet, for Von St James, it was a moment that defined her journey.
In February 2006, doctors removed her left lung, the rib above it, the lining of her heart, and part of her diaphragm. In their place, they used surgical Gore-Tex—the same material used in waterproof clothing—to rebuild parts of her chest. The surgery was a success. Surgeons had excised the tumor with perfect margins, leaving no visible cancer behind. As a precaution, to make sure they removed every bit of cancer, doctors infused warm drugs directly into her chest cavity, rocking her back and forth for an hour to circulate the medicine and kill any remaining cancer cells. 'Patients call it the "shake and bake,"' Von St James said.
She endured four rounds of chemotherapy and 30 sessions of radiation. 'People say once you survive cancer, everything should be great,' she said. 'But there are a lot of ongoing physical things that happen after surgeries.' The reality of post-treatment life is complex, marked by chronic pain, limited mobility, and the persistent shadow of illness.

Mesothelioma deaths among women are rising, from 489 in 1999 to 614 in 2020, according to the CDC. The culprit is often secondary exposure, including from washing a husband's dusty work clothes or hugging an asbestos-covered loved one. These silent exposures, often unacknowledged by policymakers, have left families like Von St James's grappling with a legacy of disease.
Twenty years later, Von St James still lives with chronic pain from the surgery, ongoing breathing problems that make climbing a single flight of stairs exceedingly difficult, and limited movement in her left hand and shoulder that makes lifting things a challenge. While the prognosis is typically grim for mesothelioma patients, long-term survivors do exist, and Von St James is one of them, now 20 years cancer-free.
Von St James's dad died in 2014 from renal carcinoma, which she believes was related to his asbestos exposure, as asbestos fibers can travel from the lungs to the bloodstream and cause disease in other places in the body. Now, she funnels energy into advocacy, lobbying for EPA action against asbestos, pushing for a complete ban on the use and import of the deadly mineral in the US. 'Doctors rarely see patients live this long after mesothelioma,' Von St James, now 57, said. 'They say in my case, to be here 20 years is rare. I'm frankly still shocked I'm here. Twenty years later and I'm still alive. Giving people that hope that it can be done, that medicine can get us there, that brings so much hope to so many.
Photos