Intersection of Mental Health and Social Challenges: A Case Study on Systemic Support Needs
A 43-year-old woman from Massachusetts, whose mental health had deteriorated to the point of suicidal ideation, was admitted to the psychiatric ward of Massachusetts General Hospital in a state of severe depression.
Her condition had been exacerbated by a complex web of challenges: a long-standing diagnosis of bipolar disorder, a history of domestic violence, financial instability, and a lack of access to stable housing.
Yet, as doctors probed deeper into her physical health, they uncovered a far more insidious and rare condition that had been silently progressing within her body for months.
The woman had arrived at the hospital with a persistent, unrelenting cough that had plagued her for two months.
Initially dismissed as a symptom of her mental health struggles, the cough worsened dramatically during her stay, accompanied by a progressive decline in her oxygen levels.
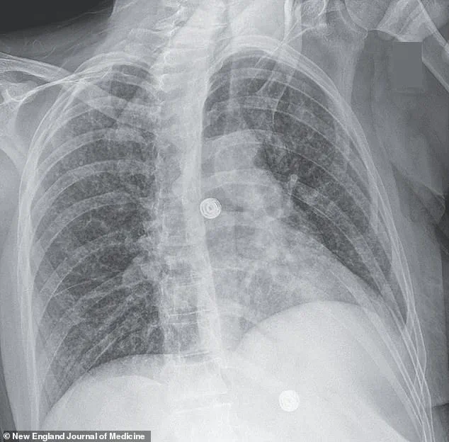
X-ray scans revealed an alarming finding: multiple small nodules scattered across her lungs, a hallmark sign of bacterial infection.
Further imaging and biopsies painted a more sinister picture.
Lesions were detected in her liver, lymph nodes, pancreas, and brain—organs that should have been untouched by the disease.
After nine weeks of testing, the results confirmed a diagnosis that would shock even the most seasoned medical professionals: disseminated tuberculosis, caused by *Mycobacterium tuberculosis*, a pathogen responsible for one of the deadliest diseases on Earth.
Though tuberculosis is now rare in the United States, affecting only a few thousand people annually, it remains a significant public health threat globally.
The disease disproportionately targets individuals with compromised immune systems, including those living in prisons, homeless shelters, or countries with limited access to modern antibiotics.
In this case, the woman’s vulnerability was compounded by a history of HIV, which she had been diagnosed with 17 years earlier.
For two years prior to her hospitalization, she had experienced interruptions in her antiretroviral therapy—a critical factor that likely weakened her immune defenses, making her susceptible to the aggressive form of TB that had taken hold.
Compounding the physical toll of the disease, the woman’s lifestyle choices further undermined her health.
Regular use of crack cocaine, daily cigarette smoking, and frequent alcohol consumption had taken a severe toll on her respiratory system and immune function.
These factors, combined with the HIV-related immunosuppression, created an environment where *M. tuberculosis* could proliferate unchecked.
The infection had not only infiltrated her lungs but had spread through her body, reaching the brain—a condition known as tuberculous meningitis, which is both rare and extremely dangerous.

The medical team treating the woman published their findings in a peer-reviewed journal, highlighting a critical but often overlooked link between TB and mental health.
They theorized that the bacteria may have triggered systemic inflammation, which in turn could have disrupted the production of tryptophan, an amino acid essential for the synthesis of serotonin—a neurotransmitter vital for regulating mood.
This biological cascade may have worsened her pre-existing depression and anxiety, creating a vicious cycle where the physical disease and mental health struggles reinforced each other.
While her life circumstances undoubtedly played a role in her mental state, the medical team emphasized that the TB may have been the underlying driver of her psychological decline.
This case has raised urgent questions for public health officials and medical professionals.
It underscores the need for greater awareness of TB in populations with intersecting vulnerabilities—such as those living with HIV, experiencing homelessness, or facing barriers to consistent healthcare.
Experts have called for expanded screening protocols in psychiatric wards, where patients may present with mental health symptoms that mask underlying physical conditions.
The woman’s story also serves as a stark reminder of the consequences of untreated HIV and the importance of uninterrupted access to antiretroviral therapy, which remains a cornerstone of both HIV and TB prevention.
As the medical community grapples with the implications of this case, it has become clear that the intersection of mental health, infectious disease, and social determinants of health is far more complex than previously understood.
For now, the woman remains under care, her recovery a long and arduous process.
But her story has already sparked a broader conversation about how systemic inequities and overlooked health risks can converge to create conditions that are both rare and deeply consequential.
Tuberculosis, once a specter of the 19th and early 20th centuries, has long been considered a disease of the past in the United States.
Yet recent data paints a troubling picture: after decades of steady decline, TB cases in the U.S. have begun to rise again, marking a reversal of progress that public health officials and medical experts are scrambling to understand.
According to the latest provisional figures from the Centers for Disease Control and Prevention (CDC), the U.S. recorded 10,347 TB cases in 2024—a sharp increase of 8% compared to 2023 and the highest number since 2011.

This resurgence, though still far lower than the global toll of 1.2 million annual deaths, has sparked urgent concerns among health officials who warn that complacency could have dire consequences.
The trajectory of TB in the U.S. has been a story of two halves.
From 1993 to 2020, the nation saw a consistent decline in cases, with the number of infections dropping to a historic low of 7,170 in 2020.
But by 2021, the trend reversed, with cases surging to 7,866.
This upward spiral has continued unabated, with 80% of U.S. states now reporting increases in TB incidence.
Experts point to a confluence of factors, including the erosion of public trust in healthcare systems during the COVID-19 pandemic, which led to delayed or missed diagnoses.
In some communities, fear of stigmatization and a lack of access to care have compounded the problem, allowing the disease to fester in the shadows.
The demographics of TB in the U.S. have also shifted dramatically.
Since 2001, the CDC has reported more cases among foreign-born individuals than among U.S.-born citizens.
This shift underscores the role of immigration and global travel in the disease’s persistence, as well as the challenges of screening and treatment for vulnerable populations.
Immigrants from countries with high TB prevalence—such as those in sub-Saharan Africa, Southeast Asia, and parts of Eastern Europe—often arrive with latent infections that can reactivate under stressors like poverty, malnutrition, or co-infections such as HIV.
These factors have created a new epidemiological landscape, one that demands a rethinking of public health strategies.
TB is a disease of the lungs, but its reach extends far beyond the respiratory system.
The bacteria, *Mycobacterium tuberculosis*, spreads through airborne droplets when an infected person coughs, sneezes, or speaks.
In its early stages, the disease may manifest with symptoms as subtle as a persistent cough, chest pain, or unexplained weight loss.
If left untreated, it can progress to severe respiratory failure, with the infection spreading to other organs, including the brain, liver, and lymph nodes.
In some cases, TB in the central nervous system can cause devastating neurological damage, leading to paralysis, strokes, and even death.
A recent case study highlights this grim reality: a woman’s scans revealed nodules in her lungs, liver, pancreas, and brain, with an enlarged lymph node in her chest.

These findings, though rare, underscore the disease’s potential to evade detection and wreak havoc on multiple organ systems.
Prevention remains a cornerstone of TB control, though its implementation in the U.S. is far from universal.
The Bacillus Calmette-Guérin (BCG) vaccine, which offers some protection against TB, is not routinely administered in the U.S. due to its limited efficacy against pulmonary TB and the country’s historically low disease rates.
However, it is recommended for children at high risk, such as those in close contact with TB patients or healthcare workers in regions with higher transmission rates.
For those already infected, timely diagnosis and treatment are critical.
TB is curable with a six-month course of antibiotics, but adherence is often complicated by socioeconomic barriers, mental health challenges, and the stigma associated with the disease.
The woman whose case study has drawn attention to the complexities of TB in the modern era faced a harrowing journey.
Diagnosed with a severe, disseminated form of the disease, she spent 33 days in the hospital receiving a combination of antibiotics, steroids, and antiretroviral therapy to manage her HIV co-infection.
Her treatment was complicated by a history of homelessness, which left her vulnerable to both the physical and psychological toll of the illness.
Three months after discharge, she was readmitted for depression and suicidal ideation, driven by ongoing housing instability.
Her story is a stark reminder of the intersection between public health and social determinants of health, where access to care, housing, and mental health support can mean the difference between life and death.
As the U.S. grapples with this resurgence, health officials are urging a renewed focus on surveillance, early detection, and community engagement.
The CDC has emphasized the need for targeted outreach to high-risk populations, improved access to diagnostic tools, and collaboration with immigrant communities to address language and cultural barriers.
Meanwhile, researchers are exploring new therapies, including shorter treatment regimens and more effective vaccines, to combat the global TB epidemic.
For now, the resurgence in the U.S. serves as a sobering reminder that even in the face of medical advances, the fight against TB is far from over.
Photos