Kentucky Mother Pleads for Vaping Ban After Son's Life-Threatening Lung Collapse
A Kentucky mother is pleading with parents and lawmakers to ban vaping after her 17-year-old son suffered two collapsed lungs from the habit, which he took up to 'look cool' in front of his peers. Crystal Vann, a mother of three, says her son, Cameron 'Dodge' Vann, began vaping two years ago without her knowledge, a decision that led to life-threatening medical complications. The ordeal has left her with a burning desire to prevent other families from enduring the same trauma.

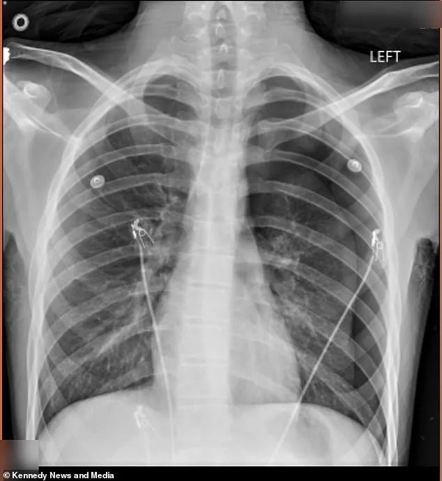
In September 2025, Dodge came home from school pale and in severe back pain. His mother rushed him to the emergency room, where a chest X-ray revealed that 50% of his left lung had collapsed, a condition known as pneumothorax. This occurs when air leaks into the chest cavity, creating pressure that pushes against the lung and causes it to collapse. Doctors had to surgically insert an 18-inch tube into his chest to remove the excess air and allow his lung to re-expand. The procedure was a medical emergency, and the family was left reeling from the sudden severity of the condition.
Despite the first incident, Dodge continued vaping in secret. That changed in January 2026, when he called his mother out of breath and in excruciating pain. He was rushed back to the ER, where doctors warned that his second lung collapse could have been fatal if not treated immediately. This time, the damage was more severe, prompting a more invasive surgery called pleurodesis. During the procedure, surgeons scraped the lining of his lung and stapled fluid-filled blisters, known as blebs, to the top of his lung to prevent further collapses. The surgery was described by Vann as 'horrible,' leaving her in a state of emotional and physical distress.

Dodge's story is not an isolated case. According to CDC data from 2024, roughly 6% of U.S. adults—about 17 million people—vape regularly, with the highest rates among young adults aged 18 to 24. Among children, 1.6 million middle and high school students report vaping, though usage has declined since its peak in 2019. The rise in youth vaping has sparked widespread concern, particularly as e-cigarettes are often marketed as a safer alternative to smoking. However, a growing body of research suggests otherwise, linking vaping to long-term risks such as high blood pressure, stroke, and even cancer.

Vaping devices heat a liquid containing nicotine, flavorings, and toxic chemicals like formaldehyde and acetaldehyde. These substances can damage lung tissue, leading to DNA mutations and inflammation that increase cancer risk. In 2024, doctors published a case in a medical journal about a New Jersey man who died from aggressive lung cancer directly attributed to e-cigarettes—the first such case on record. The findings have only deepened fears about the long-term health impacts of vaping.
Dodge, who quit vaping 'cold turkey' after his second surgery, now lives with lingering pain in his left side. The damage to his lung has left him hypersensitive to touch, making even simple tasks like putting on a shirt agonizing. He described the pain as 'stabbing' and said he fears another collapse while sleeping. His mother, Crystal Vann, has become an outspoken advocate against vaping, calling for a nationwide ban on all e-cigarette products. 'I don't want another kid going through it,' she said, echoing a plea for stricter regulations to protect children from the same fate.

Vann's efforts have included setting up a GoFundMe page to cover her son's medical costs, but she insists her greatest concern is the public health crisis vaping has created. She described Dodge as a 'kind and passionate kid with a big heart for others,' making his suffering all the more heartbreaking. 'He's been so brave, but he's also scared,' she said, adding that he often asks if his lung might collapse again while he sleeps. Her message to other parents is clear: 'Don't do it just to be cool.'
Photos