New Mother's Seizure Reveals Life-Threatening Brain Tumor
Susan Ash was basking in the glow of new motherhood when strange flashes of light began invading her vision.
The then-24-year-old brushed it off, blaming hormonal changes from pregnancy and the fact she'd been a lifelong sufferer of migraines.
But three months after giving birth, she collapsed at a soccer game and suffered a seizure.
She was rushed to the hospital where doctors then made a devastating discovery: she had a brain tumor.
She was told the tumor was slow-growing and had likely been there for years, possibly since she was born.
But its growth may have been sped up by the hormone fluctuations caused by pregnancy, triggering complications such as seizures.
Ms Ash, from New Hampshire, said, 'I was paralyzed with fear.
I cried hysterically while holding my three-and-a-half-month-old baby, praying she wouldn't have to grow up without a mom.' Susan Ash, now 25, pictured above with daughter Julia who was born in July 2024.
Shortly after the birth, Ms Ash was diagnosed with a brain tumor.

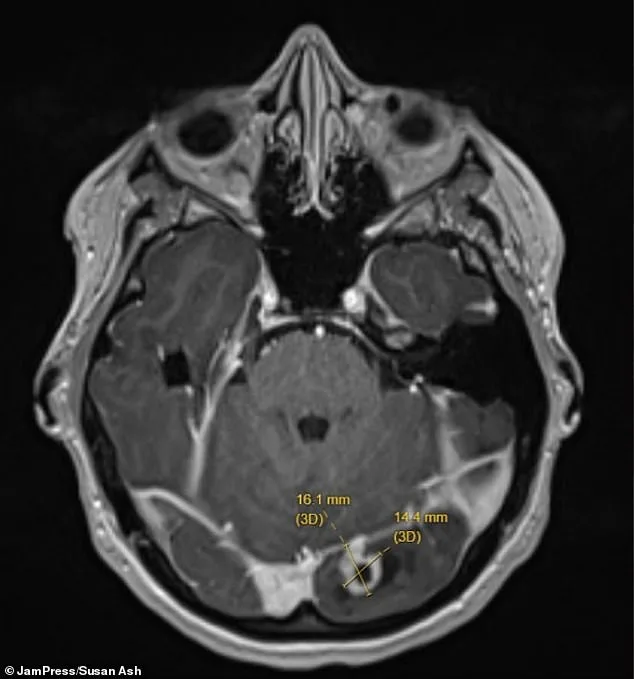
The above is a picture of the scan of Ms Ash' brain, with the tumor shown by the yellow lines.
She added, 'In retrospect, as a new parent I wasn't connecting the dots and truthfully wasn not concerned about this — I assumed it was stress.
But when I went back to work seven weeks postpartum, the duration and frequency of these episodes [headaches and blurred vision] was increasing.' Doctors found the tumor on her left occipital lobe — the part of the brain at the back of the head responsible for processing visual information from the right eye.
Fortunately, the mass was not cancerous, but its location explained the strange flashes Ms Ash had been experiencing.
Experts say that during pregnancy, surging hormone levels — particularly estrogen and progesterone — can stimulate the growth of brain tumors.
These hormones can bind to receptors on the tumor itself, potentially accelerating its development, especially if it had been silently growing for years.
Ms.
Ash gave birth to her daughter, Julia, in July 2024.
Not long after, she began experiencing vision changes and persistent migraines.

Concerned but not alarmed, she visited her doctor, who referred her to a neurologist.
But when the symptoms seemed to ease after she began taking magnesium supplements, she canceled the appointment.
Then in October, while playing soccer with her family, Ms Ash suddenly collapsed mid-game.
She had suffered a grand mal seizure — a severe type of seizure that affects the entire brain, causing muscle stiffness and loss of consciousness.
She was rushed to hospital, where imaging scans revealed a marble-sized tumor pressing on her brain.
It was also causing irritation within the skull, leading to swelling, compression and intense headaches.
Ms Ash later shared that she had suffered from migraines for years and even recalled episodes of visual disturbances — like flashing lights — as early as age ten.
Doctors now believe these may have been early signs of the tumor’s presence as it slowly grew in silence over the years.
She was diagnosed after she suffered a seizure while at a family soccer game, an event that became a turning point in her life and health journey.

She was rushed to the hospital where scans revealed the tumor lurking silently inside her brain for what seemed like decades.
Ms Ash is pictured above with her partner and daughter Julia.
The photograph captures the essence of a mother's love amidst her medical struggles, highlighting the resilience required to face such challenges head-on.
Describing the symptoms after they returned, she said: 'On my right side I would see bright flashing lights that often moved in a circular motion, which would last a couple of minutes.
Then once that subsided, my peripheral vision would go blurry.' The medical team presented her with two options: to either leave the tumor be or take it out and risk losing vision in her right eye.
After much contemplation, she has decided to remove the tumor, believing that this action is worth taking even if it poses a risk.
The surgery is scheduled to take place in the near future.
She added: 'Although there is a chance I will lose the vision in my right eye, it is a small price to pay to be alive.' At 25 years old and eight months postpartum, Ms Ash now faces additional challenges such as her inability to drive due to the diagnosis and related health issues.
She also expresses frustration over being unable to work because of the seizures she experiences.

This young mom is no stranger to financial stress as she navigates motherhood with a medical condition hanging over her head.
In response, Ms Ash has turned to connecting with other people online who are going through similar health battles, sharing stories and raising awareness about early symptoms preceding brain tumor diagnoses.
About 90,000 Americans are diagnosed with a brain tumor every year, although most cases occur in individuals aged 40 and above.
Her story is particularly poignant given her youth and recent childbirth experience.
Ms Ash’s determination to share her journey serves as an important reminder that early signs can sometimes be subtle yet critical.
Doctors emphasize the importance of recognizing warning signs such as persistent headaches, nausea or vomiting, and vision problems including blurred or double vision.
Many patients' conditions may have gone undiagnosed for years because their symptoms — like migraines and nausea — can be mistaken for other common ailments.
Ms Ash added: 'While being diagnosed with a brain tumor three months postpartum is pretty specific, I connect with a lot of people just from sharing how I am feeling.
Fear, anxiety, sadness, anger, grief, gratitude, a positive outlook, happiness in the little moment, pride – all of these things, we, as humans feel. 'Whether someone is gravitating towards my videos for the motherhood side, the medical side or the mental health side, my ultimate goal is for others to not feel alone.' Through her openness and commitment to sharing her experiences, Ms Ash aims to build a community where individuals facing similar challenges can find support and understanding.
Photos