Stress-Induced Broken Heart Syndrome: New Insights in Cardiac Research
A rare yet increasingly recognized heart condition, known as takotsubo cardiomyopathy or 'broken heart syndrome,' has emerged as a critical area of medical research. This condition, which can mimic the symptoms of a severe heart attack, has been shown to strike even the healthiest individuals, challenging long-held assumptions about heart health. Scientists are now delving deeper into its mechanisms, seeking to understand why it affects people with no history of heart disease and how it differs from traditional cardiac events.
Broken heart syndrome is typically triggered by intense physical or emotional stress, such as the sudden loss of a loved one, severe illness, or major life changes. Unlike a heart attack, which often occurs in individuals with preexisting conditions like clogged arteries, this syndrome can affect otherwise healthy people. The condition is particularly prevalent in women aged 58 to 75, though it has been documented across all demographics. Symptoms are alarmingly similar to a heart attack: crushing chest pain, shortness of breath, rapid or irregular heartbeat, dizziness, fainting, and excessive sweating. These signs often lead to immediate medical intervention, as the condition can be mistaken for a cardiac emergency.

Researchers at New York University Langone Health are now launching a groundbreaking clinical study to explore the potential of deep breathing exercises as a therapeutic intervention for individuals with a history of takotsubo syndrome. The study aims to investigate whether such techniques can activate the parasympathetic nervous system — the body's 'rest and digest' response — to prevent future episodes. This approach underscores a growing emphasis on holistic, non-invasive treatments that address the root cause of the syndrome rather than merely managing its symptoms.
Despite its name, broken heart syndrome is not a rare condition. Most studies estimate that it accounts for 1% to 2% of cases presenting with heart attack-like symptoms. However, the true prevalence remains unclear due to diagnostic challenges and the condition's tendency to be overlooked. Unlike a heart attack, which can be fatal in 12% to 15% of cases, broken heart syndrome is generally non-lethal. It causes a temporary weakening of the heart muscle rather than permanent damage, with most patients recovering fully within weeks to months. This distinction is crucial for both patients and healthcare providers, as it shifts the focus from immediate life-threatening interventions to supportive care and stress management.
The underlying mechanism of the syndrome is still a subject of intense study. Researchers believe that a surge of stress hormones, particularly adrenaline, plays a central role. This hormone flood may render heart muscle cells temporarily toxic, effectively 'stunning' them. Another theory suggests that adrenaline causes the heart's lower chamber to contract so forcefully that it paradoxically shuts down as a protective measure. Alternatively, the heart may reduce its pumping power to conserve energy in response to overwhelming stress. Some studies also point to the constriction of the heart's smallest blood vessels, which can mimic the effects of a heart attack without actual blockages.

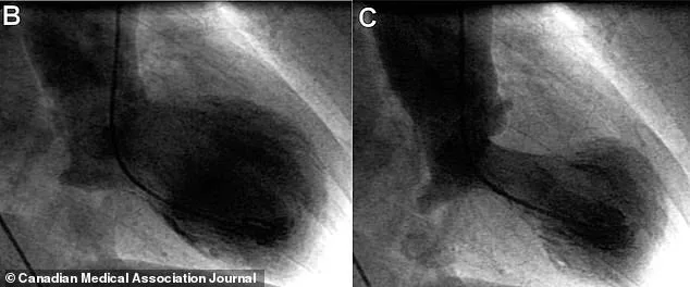
Diagnosing broken heart syndrome is a meticulous process of elimination. Because its symptoms mirror those of a heart attack, doctors initially assume the worst. An echocardiogram (EKG) is used to capture live images of the heart, revealing a distinctive 'takotsubo' shape — the bottom of the heart's main pumping chamber balloons outward while the base remains narrow, resembling a Japanese octopus trap. Blood tests also check for elevated troponin levels, a protein released when heart muscle is damaged. However, the definitive test to rule out a heart attack is a cardiac catheterization, where dye is injected into the coronary arteries to detect blockages. Clear results confirm the diagnosis of takotsubo cardiomyopathy.
Interestingly, many patients who experience broken heart syndrome are active, health-conscious individuals with no prior heart issues. They often exercise regularly, maintain low cholesterol, and have normal blood pressure. This highlights a key difference from heart attacks: broken heart syndrome is not caused by long-term neglect or clogged arteries. Instead, it is triggered by acute or cumulative stressors, such as financial strain, domestic violence, the death of a loved one, or even joyous events like weddings or births. Dr. Harmony Reynolds, a cardiologist at NYU Langone Health, emphasized that the condition can be caused by 'subtle, cumulative, or even positive' stressors, dispelling the misconception that it is solely linked to severe emotional trauma.

Treatment for broken heart syndrome is not standardized and varies based on symptom severity and individual health profiles. Most patients are prescribed standard heart failure medications, including beta blockers, ACE inhibitors, and diuretics. Beta blockers, in particular, are often continued long-term to mitigate the effects of adrenaline and prevent recurrence. However, the importance of addressing emotional and physical stress in recovery and prevention cannot be overstated. Experts urge healthcare providers and patients alike to recognize the syndrome's connection to stress and to prioritize mental health support as part of a comprehensive treatment plan.
As research continues, the medical community is increasingly focused on improving public awareness and early intervention. The study on deep breathing therapy represents a promising step forward, but it also raises broader questions about how society can better support individuals experiencing severe stress. With more than 20 million Americans reporting high levels of stress annually, the implications of this condition extend far beyond individual health — they touch on systemic issues of well-being, resilience, and the need for a more integrated approach to care.
Photos